男子持续高热20余天寻医未果,医生:警惕这种病
发布日期:2025-01-25 01:52 点击次数:55

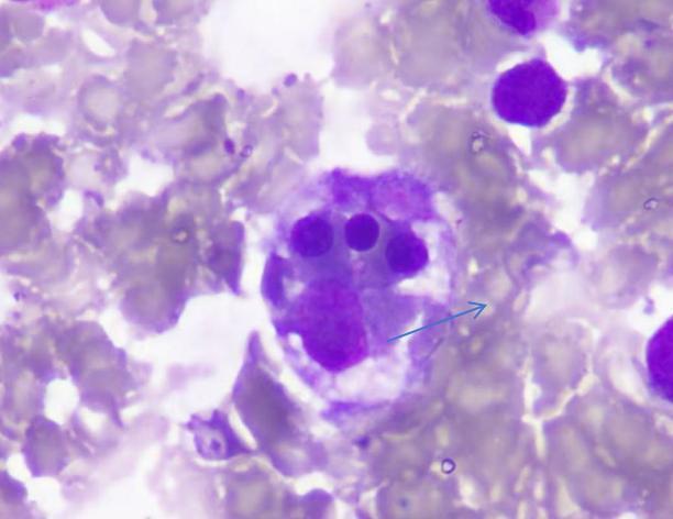
近日,一持续高热二十余天的患者,辗转于多家医院治疗未果后,来到长沙市血液内科,被诊断为噬血细胞综合征,在给予其化疗和细胞免疫治疗后最终恢复了健康。
长沙市中心医院检验科蒋艺介绍,噬血细胞综合征是一种罕见的、危及生命的疾病,它的主要特征是过度活跃的免疫细胞攻击并吞噬自身的其他细胞,包括血细胞。
出现哪些情况下应考虑噬血细胞综合征?医生表示,几乎所有的患者均会出现发热,通常体温大于38.5℃,持续超过一周,抗感染治疗无效。其次,患者的肝脏和脾脏可能会因为免疫细胞的浸润而肿大。血细胞的减少,噬血细胞综合征可能导致红细胞、白细胞和血小板数量减少,进而引发贫血、感染和出血等问题。此外,还有中枢神经系统症状,超过四分之一的患者会出现中枢神经系统症状,如昏迷、癫痫发作等。
医生表示,大部分患者会出现凝血功能障碍,主要表现为纤维蛋白原低下,导致出血风险增加。还可能出现肝功能损害、消化道症状、皮肤表现以及肺功能损伤等。
专家表示, 一旦出现症状,应立即就医,并进行相关检查以明确诊断,早诊断,早治疗。积极配合治疗,按时服药,定期复查。此外,要保持良好的生活习惯,保持健康的生活方式,包括均衡营养、适当运动、充足睡眠。同时,寻求心理支持,与家人、朋友等分享自己的感受。
通讯员蒋艺
举报/反馈上一篇:没有了
下一篇:没有了
相关资讯
